手机版 | 登陆 | 注册 | 留言 | 设首页 | 加收藏
当前位置: 网站首页 > 视频图谱 > 牧医图谱 > 文章

仔猪腹泻解剖和显微镜图片

时间:2022-07-04    点击: 次    来源:猪相关    作者:佚名 - 小 + 大

肠道,受盛化物之地,泌别清浊之所。

五谷轮回将从这里开始,在这里释放它们春种夏长秋收冬藏的最终价值。

猪进食后的饲料,经过口腔咀嚼和胃蠕动的物理性消化与唾液淀粉酶、胃酸和胃蛋白酶的化学性消化,形成便于吸收的细软食糜。

在合适的时机,幽门松弛,胃排空,食糜进入肠道。

十二指肠早已以完美的姿态迎接它们的到来。

(以下图片为猪肠道切片HE染色后显微镜下拍摄的图片)

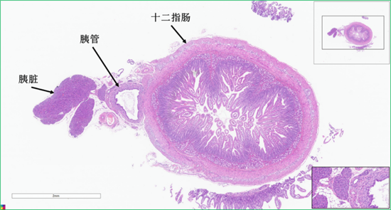
好事多磨,吸收日月精华的五谷可没那么容易被消化吸收,猪十二指肠请来外援帮忙,肝脏通过胆总管送来消化脂肪的胆汁(开口于距幽门2~5厘米的十二指肠乳头),胰脏通过胰管送来功能强大的胰蛋白酶、胰淀粉酶、胰脂肪酶(开口于距幽门10~12厘米的十二指肠),分解对应的营养物质。

猪十二指肠、胰脏和胰管

还有一件事没有解决。胃为了分解食物释放的胃酸酸度很高,PH在1~3,具有很强的腐蚀性,十二指肠必须做好自我防护。

十二指肠自有准备——在十二指肠的黏膜下层有大量的十二指肠腺,分泌碱性粘液,可保护肠粘膜免受胃酸的侵蚀。

十二指肠腺

上一篇:猪丹毒早期症状及防治(图)

下一篇:鸭坦布苏病毒病与腺病毒病的区别与治疗(图)

网站地图 | 服务条款 | 联系方式 | 关于阳光
冀公网安备 13050002001403号

|

建议使用1440*900分辨率浏览 
冀ICP备14003538号  |   QQ:472413691  |  电话:0319—3163003  |