手机版 | 登陆 | 注册 | 留言 | 设首页 | 加收藏
当前位置: 网站首页 > 视频图谱 > 牧医图谱 > 文章

猪的呼吸系统以及防御机制(图)

时间:2020-09-26    点击: 次    来源:阳光畜牧网    作者:pi333 - 小 + 大

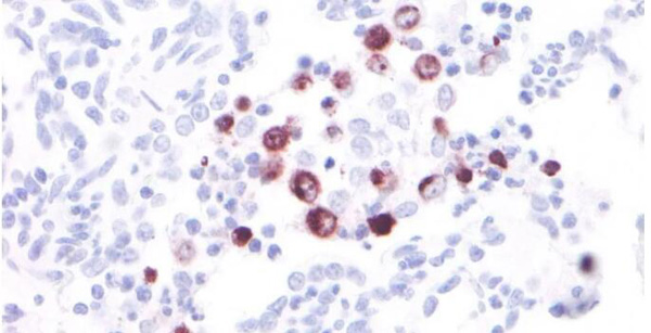
  肺巨噬细胞是另一种重要的肺防御机制。除了位于肺泡腔的肺泡巨噬细胞外,我们还可以发现位于毛细血管内的血管内肺巨噬细胞和位于间隔间质的间质巨噬细胞(图2)。前者通过吞噬微生物和吸入颗粒物来保护肺泡腔,后者则负责清除通过血流到达肺部的颗粒物或病原体。肺内巨噬细胞是炎症介质的主要产生者,如细胞因子和趋化因子,它们也可以由其他类型的细胞分泌。这些分子的主要功能是将诸如嗜中性粒细胞和淋巴细胞之类的炎性细胞吸引到损伤部位,从而充当参与炎性过程的细胞之间的“通信系统”。诸如猪繁殖与呼吸综合征(PRRSV)之类的病毒,其主要靶细胞是肺泡巨噬细胞(图3),改变了它们的基本功能(吞噬作用,抗原呈递和细胞因子产生),并最终导致其坏死和/或凋亡,从而调节免疫反应,延迟有效适应性反应的出现,从而有利于继发感染的发生。
  图3:PRRSV感染的肺泡巨噬细胞。
  我们需谨记,肺泡是呼吸交换发生的地方,与外部接触,因此粘液纤毛器的完整性和巨噬细胞的功能是维持呼吸功能稳态的基础。

上一篇:猪阴囊疝手术操作程序(图)

下一篇:我国进境种用大中动物检疫(图)

网站地图 | 服务条款 | 联系方式 | 关于阳光
冀公网安备 13050002001403号

|

建议使用1440*900分辨率浏览 
冀ICP备14003538号  |   QQ:472413691  |  电话:0319—3163003  |