手机版 | 登陆 | 注册 | 留言 | 设首页 | 加收藏
当前位置: 网站首页 > 疫病防控 > 预警预报 > 文章

2018年禽病检测中心第三季度检测总结

时间:2018-10-17    点击: 次    来源:信得科技    作者:佚名 - 小 + 大

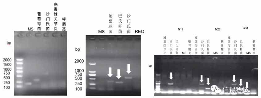
MS多与葡萄球菌、巴氏杆菌、沙门氏菌混感,增加了治疗难度。特别是这种跗关节囊肿,就是典型混感葡萄球菌、巴氏杆菌的病例(图4)。



图4. MS单纯感染或与葡萄球菌、巴氏杆菌、沙门氏菌混感病例

MS由于净化不彻底的原因,使得从鸡源方面控制起来比较困难,依然以防治为主要措施,如5-7日龄油苗配合利高、恩诺沙星注射液,1日龄进雏后,及15日龄后用替米考星、20%氟苯尼考、50%强力霉素连喂5-7天,25-30日龄用45%泰妙菌素+50%强力霉素预防一疗程等相关措施。

三、腺病毒

本季度腺病毒的检出率为3.4%,较之前两个季度(第一季为1.2%,第二季度为0.6%)有明显的升高,多呈地方性流行,如辽宁辽阳、云南楚雄及其周边地区都有过多例阳性病例,发病种群涵盖了蛋鸡、鹅、番鸭,水禽在16~18日龄发病,蛋鸡则跨度较大,20~60日龄都有。这里需要注意的是,检测中心首次分离到鹅型腺病毒A4型(图5),剖检症状为心包积液以及包涵体肝炎,而且病理切片中同时出现嗜碱性包涵体和嗜酸性包涵体(图6),鸡包涵体肝炎中也有此现象。同源性比对显示,与常见的C4、D11、E8b同源性分别仅为:59.6%、60%和61.1%,有较大的差异(图7)。

鹅病毒性肝炎在德国、荷兰、匈牙利、意大利等国都引起过很严重的死亡,最初被认为是一种细小病毒感染。但是,我们检测中心所检测这份阳性病例的典型症状与鹅细小并不完全一致,因为感染了鹅细小的1—3周龄的小鹅在出现高死亡率的同时伴随有鼻炎、口腔病损、腹水、纤维素性肝周炎,这些症状在我们所分析的病例中没有出现,而且在病理切片中充满了扩大的细胞核的嗜碱性包涵体,这在鹅细小病例中并不多见。

上一篇:2018年9月份猪病检测数据分析及10月份防控建议

下一篇:当前非洲猪瘟疫情动态分析

网站地图 | 服务条款 | 联系方式 | 关于阳光
冀公网安备 13050002001403号

|

建议使用1440*900分辨率浏览 
冀ICP备14003538号  |   QQ:472413691  |  电话:0319—3163003  |