基础兽医

近五年猪圆环病毒3型的研究进展

日期:11-15 作者:王晶晶,王丽萍译- 小 + 大

尽管可用的PCV3全基因组和ORF2序列很有限,但研究人员还是设计出了几种初步的分类系统。对PCV3序列进行的同时期和回顾性系统进化分析表明,Cap蛋白的第24和27个氨基酸发生了一致的突变,这可能是潜在的分子标记。根据这些突变,PCV3可分为3个进化支:PCV3a、PCV3b和PCV3c。根据完整的编码序列(ORF1和ORF2),PCV3a可进一步分为2个独特的亚分支(PCV3a-1和PCV3a-2)和1个中间进化支(PCV3a-IM)。此外,Chung等根据重组的病毒编码基因,通过最大似然法(maximum likelihood mapping)定位分析,对PCV3的三种基因型和多种亚型,包括基因型1、基因型2(亚型a和b)和基因型3(亚型a、b、c、d、e、f、g和h),进行了分类。

为了统一分类方法,Franzo等提出了PCV3亚型的定义,即引导支持度(bootstrap support)大于0.9,全基因组水平的最大遗传距离为3%,ORF2水平的最大遗传距离为6%,全基因组和ORF2之间的结果一致。Franzo等利用这一分类系统确定了2个进化支,其中进化支1(PCV3a)由先前文献报道的多个亚型组成,进化支2包含2006年从中国某猪场获得的2个远缘序列。世界各地的研究人员在PCV3基因组分析和进化方面取得了许多研究进展;然而,尚未获得有关这些不同的基因型如何引发不同的表型或增强病毒逃逸宿主免疫系统检测的信息。

2 易感宿主

虽然家猪是PCV3的天然宿主,但一些家养的和野生的动物,如牛、犬、小鼠、岩羚羊、狍子、野猪、蜱虫和蚊子,也能感染该病毒。然而,没有证据表明这些动物在PCV3的传播上发挥了作用。在家养动物中,牛(28.95%~34.70%为阳性样本)和犬(9.09%~23.60%为阳性样本)感染后会出现病毒血症,但没有出现临床疾病;实验室小鼠感染后也会发生病毒血症,样本的阳性率为100%。当然,还未确定家养动物和实验室动物在多大程度上充当了PCV3的贮存宿主。Franzo等报道,岩羚羊和狍子感染PCV3后的发病率较低。Grassi等未能在黄喉姬鼠、木鼠和堤岸田鼠(bank Voles)的相关样本中检测到PCV3,这意味着野生啮齿动物可能不会帮助PCV3在野生动物种群中传播。

野猪可能是一个重要的病毒贮存宿主,Dei Giudici等、Franzo等、Klaumann等和Prinz等报道,PCV3在野猪群中的流行率(23.00%~61.54%)高于在一些家养猪群中的。此外,Franzo等发现,年龄不足12个月的公猪对PCV3的感染率低于年龄较大的公猪的。在经过为期5个月的研究后,Klaumann等提出了长期持续感染的假说,这可能部分解释了年龄较大的公猪感染率较高的原因。

许多田间研究评估了病媒在PCV3传播上的作用。Franzo等在有野猪群和无野猪群地区对蜱虫上能否检测到PCV3进行了研究,结果显示,在有野猪群的地区,能够在蜱虫上检测到PCV3,反之则没有,这表明野猪的存在也可能会影响PCV3向蜱虫的传播。同样,从PCV3阳性猪场中捕获的蚊子上也检测到了PCV3。Ha等报道,在蚊子和猪上检测到的PCV3,它们的基因组序列有100%的核苷酸同源性;但没有临床或实验证据支持PCV3可通过病媒传播。因此,在蚊子或蜱虫上检测到的PCV3可能与PCV3在猪群中的传播无关。总之,PCV3感染的流行病学、家养动物和野生动物之间的相互作用似乎是一种复杂的关系。

3 临床疾病

PCV3感染猪后会引发多种临床症状,但其在田间的临床相关性尚不清楚。本综述介绍了PCV3感染引发的临床症状,这些症状在文献中有过报道,并得到了田间、流行病学或实验性研究的支持。

3.1 繁殖障碍和PDNS

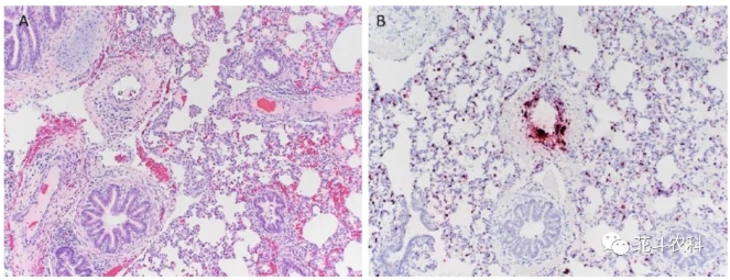
首次检测到的PCV3与母猪出现PDNS样皮肤病变、高死亡率和繁殖障碍(包括流产、木乃伊胎和死胎率增加以及受孕率下降)有关。在这份原始报道中,受感染的母猪厌食,出现的肉眼病变,主要为多灶性丘疹、斑疹和浅表性皮炎,与PCV2感染引发的原发性PDNS没有区别。对皮肤病变进行组织学检查后,确诊发生了坏死性皮炎和表皮炎,伴有淋巴浆细胞性血管周围袖套、中性粒细胞浸润和出血。肾脏出现增生性肾小球肾炎、皮质肾小管萎缩和坏死以及间质纤维化。肺部表现为支气管间质性肺炎,气道和血管被聚集的淋巴细胞和浆细胞堵塞(图2A)。在与单核炎症细胞相关的肺泡间质中也检测到了PCV3(图2B)。淋巴结出现弥漫性肉芽肿性淋巴结炎,淋巴细胞减少。除了滤泡和滤泡周围淋巴细胞群外,巨噬细胞中也出现了PCV3的胞浆内染色。随后的病例报道显示了各种临床症状,包括PDNS、繁殖障碍、流产、产木乃伊胎和死胎(表1)。

注:(A)淋巴浆细胞性血管炎伴有轻微间质性肺炎;(B)肺泡间质内的单核炎症细胞、小血管中膜和内膜呈PCV3核酸阳性。

图2  PCV3 mRNA原位杂交阳性信号相关的组织病理学病变

上一篇:华东某县防控非瘟得失分析

下一篇:非洲猪瘟变异株流行特点与防控理念

网站地图 | 服务条款 | 联系方式 | 关于阳光

冀ICP备14003538号  |   QQ:472413691  |  地址:河北省邢台市  |  电话:0319—3163003  |  

Copyright © 2026 天人文章管理系统 授权使用


首页
分享
留言 搜索 我的