牧医图谱

非洲猪瘟的诊断技术(图)

日期:03-20 作者:勃林格殷格翰(中国)动物保健- 小 + 大

图8. 感染ASFV 6天后胸腺。

(A. 正常胸腺对照;B. 淋巴细胞严重耗竭,呈现星空样。)

图9:急性 ASF 肠系膜淋巴结。淋巴细胞坏死、核碎裂。

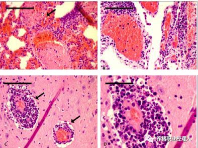
图10:感染ASEV后肺与脑组织病理变化。

(A. 肺脏严重充血,血管因血栓堵塞而显著扩大(箭头所指);B. 脑脉络丛血管严重充血,部分血管周围出现单核细胞浸润;C-D. 脑实质血管周围出现大量单核细胞浸润,呈“血管套” 现像,浸润的单核细胞出现核碎裂。)

上一篇:低致病性禽流感H9的诊治(图)

下一篇:一例肉鸡腹水综合征的诊治(图)

网站地图 | 服务条款 | 联系方式 | 关于阳光

冀ICP备14003538号  |   QQ:472413691  |  地址:河北省邢台市  |  电话:0319—3163003  |  

Copyright © 2026 天人文章管理系统 授权使用


首页
分享
留言 搜索 我的